詰め物の下が虫歯になるってどういうこと?気づくサインと治療法を解説
2025/09/20
こんにちは、大田区中央(池上・大森)の歯医者、谷歯科クリニックです。
一度虫歯になり、詰め物治療をしたはずの歯がまた虫歯になるというケースは、残念ながら少なくありません。
自分では見えにくい場所だからこそ気づきにくく、気づいたときには虫歯が進行していたということもあります。
今回は、詰め物の下に虫歯ができる原因や早期に気付くためのサイン、治療方法などを解説します。
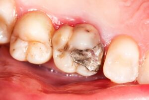
詰め物をした歯が再び虫歯になる理由
一度治療をして詰め物をした歯でも、年月が経つうちに再び虫歯になることがあります。
このような再発は「二次う蝕」と呼ばれ、詰め物と歯の境目から細菌が侵入し、内部で虫歯が進行してしまった状態です。
二次う蝕に陥る原因のひとつは、詰め物の劣化や接着剤の変質です。
詰め物は時間の経過とともにわずかに変形したり、接着部分にすき間が生じたりすることがあります。
特に金属の詰め物は経年劣化しやすく、歯との間にすき間ができやすいため、そのわずかなすき間に細菌が入り込むと、目に見えないところで虫歯が進んでしまいます。
また、歯そのものが少しずつ動いたり、すり減ったりしていることも、詰め物との間にすき間ができてしまう原因です。
虫歯が進行しても気づきにくい理由
詰め物の下で虫歯が進んでいても、初期の段階ではほとんど自覚症状がありません。
詰め物によって歯の表面が覆われているため、外から見ても変化がわかりにくく、痛みもないことが多いからです。
さらに、「すでに治療した歯」という意識があることで、再び虫歯になっているという考えに至りづらいことも、受診が遅れがちになる理由です。
こうした背景から、気づいたときには虫歯が深く広がっているケースも少なくありません。
虫歯が進行しているサイン
痛みやしみる感覚がある
詰め物をしている歯に痛みやしみる感覚がある場合、虫歯が再発しているサインかもしれません。
特に冷たいものや甘いものを口にしたときにしみる感覚がある場合、詰め物の下で虫歯が進行している可能性があります。
初期の段階では、違和感程度の症状しか出ないことも多いですが、虫歯が深くなるにつれて痛みが強まるため、違和感の段階で早めに診察を受けることが大切です。
詰め物が浮いたり、外れたりする
詰め物が浮いたり、自然に外れてしまったりするのも、虫歯が進行しているサインです。
虫歯が詰め物の下で広がると、歯質がもろくなり、詰め物を支える力が弱まってきます。
その結果、固定されていた詰め物が不安定になったり、食事中や歯磨き中に外れたりするようになります。
変色やにおいがある
歯の一部が茶色っぽく変色していたり、詰め物の周囲からにおいがしたりする場合、詰め物の下で虫歯が進行している可能性があります。
また、歯ぐき付近が黒ずんで見える場合も、詰め物の下に虫歯ができているサインの可能性があります。
詰め物の下が虫歯になった時の治療法
詰め物治療
虫歯の範囲が比較的浅い場合には、詰め物を外して虫歯の部分だけを丁寧に削り取り、再度詰め直す処置が行われます。
流れとしては、まず古くなった詰め物を取り除き、虫歯菌に感染した箇所を除去します。
その後、空いたスペースに新しい詰め物を入れ、歯の形や機能を整えていきます。
根管治療
虫歯が進行し、歯の神経にまで達している場合や、神経の周囲に炎症や感染が起きている場合には、根管治療が必要になります。
具体的には、まず感染した神経を丁寧に取り除き、歯の内部の根管と呼ばれる細い管を洗浄・消毒します。
その後、薬剤で密閉したうえでかぶせ物を装着して、かみ合わせや見た目、機能を補います。
治療には数回の通院が必要になることが多いですが、途中で中断すると再感染のリスクが高まるため、最後までしっかり治療を受けることが大切です。
抜歯
虫歯が重度に進行し、歯の大部分が崩れてしまっている場合や、根管治療での保存が難しいと判断された場合には、残念ながら抜歯が必要になります。
抜歯は歯を失うことにはなりますが、そのまま放置してしまうとかみ合わせや周囲の歯にまで悪影響が及びます。
そのため、歯根まで大きく損傷していたり、歯を支える骨が大きく失われていたりするケースでは、無理に残すよりも抜歯を選択することがあります。
抜歯後は、入れ歯(義歯)やブリッジ、インプラントなどの補綴治療によって、見た目やかむ機能を補います。
それぞれに特徴や費用、メンテナンスの方法が異なるため、歯科医師と相談しながら自分に合った方法を選ぶようにしましょう。
補綴治療の選び方
入れ歯、ブリッジ、インプラントといった治療法には、それぞれ異なった特徴があります。
入れ歯は、治療期間は短い場合で2、3週間ほどとなっており、保険が適用されます。
一方で、異物感やかむ力の低下を感じることがあります。ブリッジは、隣の歯を支えにして人工歯を固定する方法です。
入れ歯と同様に保険が適用され、入れ歯よりも見た目やかみやすさに優れていますが、健康な歯を削る必要があります。
インプラントは、あごの骨に人工の歯根を埋め込む方法のため、天然歯に近いかみ心地が得られます。
一方で、外科処置を伴うこと、治療期間が長いこと、経済的負担が大きいことなどのデメリットがあります。
詰め物の下で虫歯を再発させないために
日々のデンタルケア
日々のデンタルケアは、虫歯予防のために欠かせません。
特に歯と詰め物の境目は汚れが溜まりやすいため、毎日丁寧に磨くことが大切です。
やわらかめの歯ブラシを使い、力を入れすぎずに優しく磨くと、歯や詰め物を傷つけずに汚れを落とすことができます。
また、歯間ブラシやデンタルフロスを活用することで、歯間の汚れを落とすことも大切です。
定期的な歯科医院の受診
詰め物の下で虫歯が進行しているのに自覚症状がない、ということはめずらしくありません。
だからこそ、定期的に歯科医院で検診を受け、見た目だけではわからない問題を早期に見つけることが大切です。
早い段階で治療をすれば、歯への負担も軽減され、健康な歯を長く保ちやすくなります。
まとめ
詰め物の下にできる虫歯は、見た目にはわかりにくいものの、決してめずらしいことではありません。
違和感や不快感がある場合は放置せず、すぐに歯科医院を受診するようにしましょう。
谷歯科クリニック :https://tani-dentalclinic.jp/
〒143-0024 東京都大田区中央6-30-3
電話:03-3754-8041
交通アクセス
東急池上線池上 駅より徒歩12分
東急バス大森税務署バス停より徒歩0分
