銀歯を白くしたいときの選択肢には何がある?特徴や費用について
2025/10/20

こんにちは、大田区中央(池上・大森)の歯医者、谷歯科クリニックです。
「口を開けたときに見える銀歯が気になる」
「人と話すときに、つい口元を隠してしまう」
そんな悩みを抱える方は少なくありません。銀歯は人と接する機会が多い方や、美意識の高い方にとっては大きなコンプレックスになることがあります。
そこで今回は、銀歯を白くするための治療法の特徴やメリット・デメリット、費用相場について解説します。
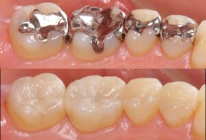
銀歯とは

銀歯とは、金・銀・パラジウムなどの金属を使用して作られた人工の詰め物やかぶせ物のことです。
正式には「金銀パラジウム合金」と呼ばれる素材ですが、銀歯と呼ばれるのが一般的です。
銀歯のメリットは、耐久性に優れていることです。
かむ力が強い奥歯でもしっかりと機能し、壊れにくいという利点があります。
また、金属のため薄く加工しても十分な強度があり、必要以上に歯を削らずに済む点もメリットです。
加えて、保険適用であることも魅力の一つです。
一方で、口を開けたときに金属の色が目立つという点はデメリットです。
金属アレルギーのリスクや、歯ぐきに金属イオンが沈着することによって黒ずんで見える、メタルタトゥーのリスクもあります。
銀歯を白くするための方法
CAD/CAM冠・CAD/CAMインレー

CAD/CAM冠やCAD/CAMインレーは、コンピューターによる設計(CAD)と加工(CAM)技術を使って作製される白いかぶせ物・詰め物です。
素材には「ハイブリッドレジン」と呼ばれる、セラミックとレジン(樹脂)を混ぜた材料が使用されます。
白く自然な仕上がりで、見た目が気になりにくい点が大きなメリットですが、純粋なセラミックと比べると耐久性や変色のリスクは若干高くなります。
また、使用できる歯に制限があるケースもあります。
コンポジットレジン

コンポジットレジンは、歯科用のプラスチックを使って歯を修復する治療法です。
小さな虫歯を治療した場合など、歯の狭い範囲を削った際に使用されます。
コンポジットレジンの利点は、保険適用であることと、治療回数が少なく済むことです。
歯をあまり削らずに済むことが多く、身体への負担も大きくありません。
ただし、耐久性には限界があり、強い力が加わると欠けたりすり減ったりする可能性があります。
また、長年使用するうちに着色や変色が起きることもあります。
硬質レジン前装冠

硬質レジン前装冠は、金属のフレームに白いレジンを貼りつけた構造のかぶせ物です。
前歯の治療において保険が適用されるため、経済的に白い歯に治療したい場合に適しています。
一方で、金属アレルギーがある方には向いていません。
また、長く使うことでレジン部分がすり減ったり、変色したりすることもあります。
メタルボンド

メタルボンドは、内側が金属、外側がセラミックのかぶせ物です。
耐久性の高い金属を白いセラミックで覆っているため、見た目と耐久性を兼ね備えています。
ただし、金属アレルギーのリスクがあり、歯ぐきとの境目が時間の経過とともに黒く見えるようになることもあります。
オールセラミック

オールセラミックは、セラミックだけで作製する白いかぶせ物です。
透明感があり、色味の調整もしやすいため、前歯など見た目が気になる部位の治療に向いています。
ただし、セラミックは自由診療であり、強い衝撃で割れるリスクもあります。
そのためかみ合わせが強い部位には適さないことがあります。
ジルコニアセラミック

ジルコニアセラミックは、セラミックの中でも硬い素材を使用したかぶせ物です。
ジルコニアは人工ダイヤモンドに例えられることもあり、高い強度と美しさを兼ね備えています。
そのため、かむ力がかかる奥歯に適しており、金属を含まないため金属アレルギーのリスクがありません。
ただし、素材が非常に硬いため、かみ合わせの状況によっては周囲の歯をすり減らす恐れがあります。
また、自由診療のため費用は高額です。
銀歯を白くするメリット
自然な見た目になる

銀歯を白い歯に変えることで、見た目が自然になり、口元の印象が大きく変わります。
特に前歯は顔の印象を左右する部分であり、白く美しい歯にすることで笑顔にも自信が持てるようになります。
金属が見えることに抵抗がある方や、笑ったときの銀歯が気になるという方にとって、セラミックなどの白い歯は審美的に優れた選択肢です。
金属アレルギーのリスクを下げられる

銀歯に含まれる金属が原因で、金属アレルギーを引き起こすリスクはゼロではありません。
皮膚に湿疹が出たり、口の中に違和感が生じたりする場合は、銀歯の金属が影響している可能性があります。
こうした場合は、金属を含まないセラミックやジルコニアに変えることで、再発を防ぐことができます。
長持ちしやすい

銀歯は、長年使用していると金属が腐食したり、歯との間にすき間ができたりすることがあり、保険適用のレジン(歯科用プラスチック)は強度が低いため、すり減りや変色が起こりやすい傾向があります。
それに対し、セラミックやジルコニアなどの素材は、経年劣化しにくく、長期間にわたって変色や変質が起こりにくいという特徴を持っています。
一度の治療にかかる費用は自由診療の素材のほうが高くなりますが、その後の調整や交換の頻度なども考えて長期的にメリットのある方法を選ぶといいでしょう。
銀歯を白い歯に変えた後の注意点

セラミックやジルコニアなどの素材に変えた後は、日々のケアがとても重要です。
せっかく白く美しい歯にしても、歯磨きが不十分だと虫歯や歯周病を引き起こすリスクがあります。
歯ブラシだけでなく、デンタルフロスや歯間ブラシも使いながら、口内を清潔に保つようにしましょう。
また、どの素材にもいえることではありますが、セラミックやジルコニアを長く使うためには、定期的に歯科医院で検診を受けることが大切です。
歯科医院で詰め物やかぶせ物の状態を定期的にチェックしてもらったり、クリーニングで歯石を落としてもらったりすることで、健康で美しい口内環境を保つことができます。
まとめ

銀歯を白くすることで、見た目が自然になるだけでなく、金属アレルギーや歯ぐきの黒ずみなどのリスクも減らすことができます。
素材ごとに特徴や費用、耐久性などが異なるため、自分の希望や予算に合わせて選ぶことが大切です。
また、治療後も正しいケアを継続し、歯科医院での定期的なチェックを受けることで、白く美しい歯を長く維持することができます。
谷歯科クリニック :https://tani-dentalclinic.jp/
〒143-0024 東京都大田区中央6-30-3
電話:03-3754-8041
交通アクセス
東急池上線池上 駅より徒歩12分
東急バス大森税務署バス停より徒歩0分